Humancare Medical Services
হিউম্যানকেয়ার মেডিকেল সার্ভিসেস
House # 102/1-A, Nayapaltan Box Calvert Road , Dhaka-1000 , Mobile: 01345978890.
E-mail : humancaremedical25@gmail.com, Online Report- humandmc.com
 
MEDICAL REPORT
REG DATE: 02/12/2024
REG NO:
HDM2412175
PASSPORT:
NAME REZWAN AHMED
PASSPORT NO A08008160
MARITAL STATUS Unmarried
AGE 20
NATIONALITY Bangladeshi
AGENCY HABIB
PROFESSION Private Service
COUNTRY KSA
BIRTH DATE 01/01/2004
RELIGION Islam
GENDER Male
HEIGHT (CM) 167
WEIGHT (KG) 55
MEDICAL EXAMINATION
TYPE OF THE EXAMINATION RESULT
EYE Visual Acuity R: 6/6
L: 6/6
EAR R: NAD
L: NAD
SYSTEMIC EXAM: CARDIO-VASCULAR
B.P 120/80
HEART NAD
RESPIRATORY EXAM
LUNGS NAD
GASTROINTESTINAL ABDOMEN NAD
OTHERS
HERNIA ABSENT
VARICOSEVEINS ABSENT
DEFORMITIES ABSENT
SKIN NAD
C.N.S
EXTREMITIES NAD
PSYCHIATRY NAD
VENEREAL DISEASE
SYMPTOMS NAD
REMARKS
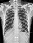
X-RAY INVESTIGATION
CHEST X-RAY Hilar Calcification Lt Side
ECG
HIS/HER STATUS : HELD UP
REMARKS : , 45% Risk For X-ray,
 
LABORATORY INVESTIGATION
TYPE OF LAB INVESTIGATION RESULT
URINE R/E
URINE FOR SUGAR NIL
URINE FOR ALBUMIN NIL
BILHARZIASIS (IF ENDEMIC) NIL
URINE FOR PREGNANCY TEST
THC N/A
AMP N/A
OPI N/A
BLOOD-CBC & GROUPING
MALARIA NOT FOUND
MICROFILARIA NOT FOUND
BLOOD GROUP
HAEMOGLOBIN gm/dl
ESR mm/hr
BLOOD-BIOCHEMISTRY
R.B.S 5.8 mg/dl
S. CREATININE mg/dl
S.BIL. 0.8 mg/dl
SGPT 22.6 U/L
SGOT U/L
CHOLESTEROL U/L
BLOOD-ELISA & SEROLOGY
HIV I & HIV II
HBsAg NEGATIVE
Anti HCV N/A
TPHA (IF VDRL POSITIVE) NEGATIVE
VDRL NON REACTIVE
DR. MD. Mozammel Haque
M.B.B.S F.C.G.P (Medicine)
Consultant Physician
Depart of Medicine (DMCH)
Medical Officer , REG, No-8833
Humancare medical services.